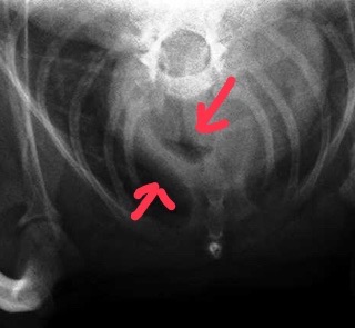
先日遠方から最近呼吸様式がおかしく苦しそうとの事で来院されました。その症例を紹介しますね。レントゲン検査にて重度頸部気管虚脱と診断して手術の日程を決めて帰られたのですがその道中で急変してその当日の手術となりました。気管虚脱は状況によっては急速に悪化することがあるので注意が必要です。





TEL.011-884-1453〒004-0874 札幌市清田区平岡4条6丁目11-1
先日遠方から最近呼吸様式がおかしく苦しそうとの事で来院されました。その症例を紹介しますね。レントゲン検査にて重度頸部気管虚脱と診断して手術の日程を決めて帰られたのですがその道中で急変してその当日の手術となりました。気管虚脱は状況によっては急速に悪化することがあるので注意が必要です。





8/8-9は祝日のため本院休診日となります。
開院していますが院長不在の日があります。8/7の午前と午後の一日中と8/19の午前が不在となります。いつもの皮下点滴や薬の処方や爪切り、肛門腺などは通常通り行っており診察は行えませんのでよろしくお願いします。
暑くなってきましたね、夏らしいのはいいのですが人も動物も体調不良が多くなってきている印象があります。お身体ご自愛くださいませ。
オリンピックの関係から祝日の移動があり7/22-23は祝日となり本院は休診日となります。今年度水曜日が本院の休みなので7/21-23の3日間が休診となります、お間違いのないようよろしくお願いします。
7/19は祝日移動となり平日のため診察しております。
よろしくお願いします。